真心と高い技術で、
口福を創造します
News新着情報
About Us当社について
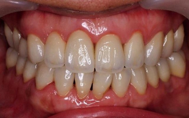
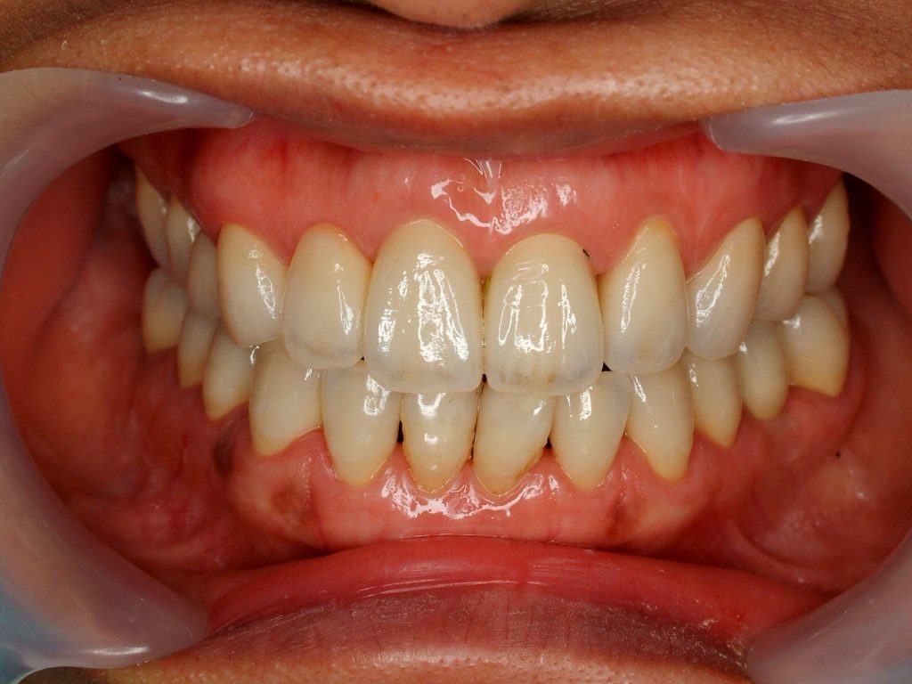
創業以来、歯科医師の先生方と共に審美を追及してきました。
複雑な技工や新しい事例にも柔軟に対応し、若手からベテランの先生方まで信頼を頂いております。情報や技術面でのサポートを通じて、先生方の日々の診療を支えています。
CAD/CAM(exocad)、口腔内スキャナー(medit limkなど)、stlデータ、アトランティスアバットメント・アトランティススープラストラクチャーにも対応、
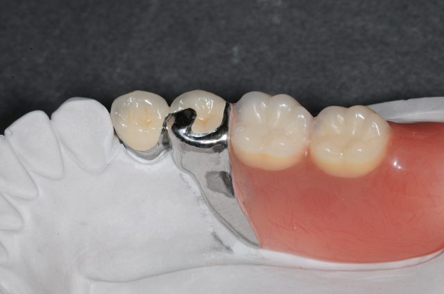
各種インプラント、オールセラミック、メタルボンドなど技工物に対応するとともに、
最新技術の導入にも積極的に取り組んでおります。どうぞお気軽にご相談ください。
また、当社では新規事業として「FUMI針灸院」を運営しています。
詳細については、こちらをご覧ください。

Products取扱い技工物
Equipment設備紹介
最新の自費技工物に対応可能な設備を整備しています。

Medit link / exocad
口腔内スキャナーを使用したstlデータでの技工物製作が可能です。

ポーセレンコーナー
ポーセレンファーネスDEKEMA(austromat654)
デジタル画像に対応し画像を確認しながらポーセレンを築盛します。色の難しい患者様には、来社していただいて制作することもあります。

鋳造・サンドブラスター
Heracast iQ・Neo Super Casucom
真空圧迫鋳造機 コバルトからプレシャスメタルまで鋳巣のない精度良い歯科技工物の製作をサポートします。
サンドブラスター(Renfert Quattro)
ガラスビーズ、アルミナ60~120μm、 ロカッテッ ク処理まで対応します。

ミリングコーナー
SHICK ミリングマシーン
AMANN(cera mill)
カスタムアバットメント(チタン、ジルコニア)、コーノスムローネノ内冠のミリングで活躍します。
また、リーゲルアタッチメントの製作でも必需品です。

レーザー溶接機(へレパルス)
今主流の技工材料料のジルコニアやコバルトに対応します。
材料コスト削減に効果大です。
Corporate Philosophy企業理念
「真心と高い技術で幸福(口福)を創造する会社を創ろう!」
Company会社概要
| 会社名 | TENSEI systems 有限会社 |
| 代表者 | 代表取締役 石松 典生 |
| 所在地 | 〒182-0006 東京都調布市西つつじヶ丘4-16-14 1F |
| 設立 | 2003年3月13日 |
| 連絡先 | TEL:042-426-9597 FAX:042-426-9598 |
| 営業日 | 平日 9:00~18:00 (定休日:土日祝日) ※急ぎの技工の場合は、ご相談をお受けします。ご遠慮なくお申し付けください。 ※休日の連絡に関しまして、ラボにお電話いただきましたら転送電話にてご対応いたします。 |
| 関連会社 | FUMI針灸院 |
| オリジナル指輪・結婚指輪製作(ノンアレルギー) | 歯科用金属を使用した高カラットの金属で製作するため、ノンアレルギーのペアリングや結婚指輪製作をすることが可能です。![]() ![]() ![]() |
| 足形の置物製作 | お子様の可愛らしい足形を記念に残せます。弊社ではペーパーウエイトとして活用しています。ペット(ワンちゃんなど)の足形やキーホルダーも応戦中です!![]() |
Career代表経歴
| 1978年 | 国立広島大学歯学部付属歯科技工士学校卒業(5期) |
| 1980年 | 国立東京医科歯科大学歯学部付属歯科技工士学校実習科修了(22期) |
| 1980年 | 医療法人仁岳会西東京歯科 ㈱メトロ歯科補綴研究所入社 |
| 2005年 | TENSEI systems 有限会社 設立 (東京都千代田区神田にて) |
| 2014年 | TENSEI systems 有限会社 移転 (東京都調布市つつじヶ丘にて) |
| 資格等 | IMZ インプラント公認インストラクター(ドイツにて取得) ITI インプラントエクセレントラボ認定(スイスにて取得) AGC マスター(ドイツにて取得) CERCON 公認インストラクター取得(Dentsply -Sankin) |
Recruit採用情報
| コメント | 現在募集しておりません。 |
| 募集職種 | 歯科技工士 |
| 雇用形態 | 正社員 |
| 応募資格 | 歯科技工士免許 |
| 勤務地 | 〒182-0006 東京都調布市西つつじヶ丘4-16-14 1F |
| 勤務時間 | 平日 9:00~18:00 (休憩1時間) |
| 休暇 | 土日祝日 |
| 給与 | 経験・能力に応じて給与を決定いたします。 |
| 福利厚生 | 社会保険完備、交通費全額支給、労災保険適用 |
Access Mapアクセスマップ
- 京王線「つつじヶ丘」駅南口下車、南に2分歩き、交差点を右折、徒歩5分
Contactお問い合わせ
ご意見・ご相談、料金のお見積もりなど、お気軽にお問い合わせください。
受付時間 平日 9:00~18:00




























